Üsküdar Üniversitesi Diş Hekimliği Fakültesi Restoratif Diş Tedavisi Anabilim Dalı Dr. Öğr. Üyesi Rabia Yıldırım, diş beyazlatmanın hekim kontrolünde yapıldığında diş minesine zarar vermediğini ve oluşabilecek hassasiyetin geçici olduğunu söyledi.
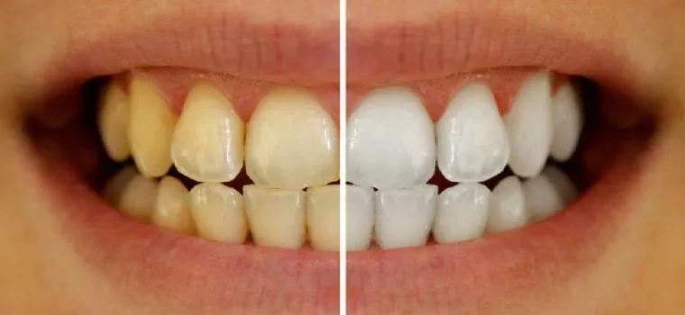
Diş beyazlatmanın, diş renginden memnun olmayan bireyler için minimal invaziv bir estetik uygulama olduğunu belirten Yıldırım, klinik ortamda yapılan ofis tipi beyazlatma ya da kişiye özel plaklarla uygulanan ev tipi beyazlatma yöntemleriyle diş renginin birkaç ton açılabildiğini ifade etti.
Toplumda en yaygın yanlış inanışlardan birinin, diş beyazlatmanın diş minesine zarar verdiği yönünde olduğunu dile getiren Yıldırım, bilimsel çalışmaların uygun ajanlar ve doğru konsantrasyonlar kullanıldığında diş minesinde kalıcı bir hasar oluşmadığını ortaya koyduğunu söyledi.
Beyazlatma sonrası görülebilen diş hassasiyetinin de kalıcı olmadığına dikkat çeken Yıldırım, “Genellikle 24 ila 72 saat süren geçici bir hassasiyet oluşabilir. Uygun hassasiyet giderici ürünlerle bu durum kontrol altına alınabilir” dedi.
Bir diğer yanlış inanışın beyazlatma işleminin kalıcı olduğu düşüncesi olduğunu belirten Yıldırım, çay, kahve ve sigara tüketimine bağlı olarak zamanla beyazlıkta azalma görülebileceğini, ancak düzenli ağız bakımıyla etkinin 1 ila 3 yıl boyunca korunabileceğini ifade etti.
Evde uygulanan limon, karbonat gibi “doğal” yöntemlere de dikkat çeken Yıldırım, bu tür uygulamaların kontrolsüz kullanımının diş minesine zarar verebileceğini, dişlerde hassasiyet ve daha hızlı renklenmeye yol açabileceğini vurguladı. Bu nedenle beyazlatma işlemlerinin mutlaka diş hekimi kontrolünde yapılması gerektiğinin altını çizdi.
Beyazlatma işleminin dolgu ve kaplamalar üzerinde etkili olmadığını hatırlatan Yıldırım, uygulamanın yalnızca doğal diş dokusunda sonuç verdiğini söyledi. Ayrıca işlemin herkes için aynı sonucu vermediğini, diş rengi, leke tipi ve yaş gibi faktörlerin beyazlatma başarısını etkilediğini belirtti.
Yüksek konsantrasyonlu beyazlatıcı ajanların daha etkili olduğu düşüncesinin de yanlış olduğunu kaydeden Yıldırım, hızlı sonuç uğruna yüksek doz uygulamaların riskleri artırabileceğini ifade etti. Beyazlatmanın hekim kontrolünde, uygun doz ve randevu aralıklarıyla yapılması gerektiğini söyledi.
Hamileler, emziren anneler ve 18 yaş altındaki bireylerde diş beyazlatmanın genellikle önerilmediğini belirten Yıldırım, bu gruplar için alternatif tedavi seçeneklerinin tercih edilebileceğini sözlerine ekledi.






Yorum Yazın
E-posta hesabınız sitede yayımlanmayacaktır. Gerekli alanlar * ile işaretlenmişdir.